当院の入れ歯治療について
専門分野である義歯治療に力を入れています。
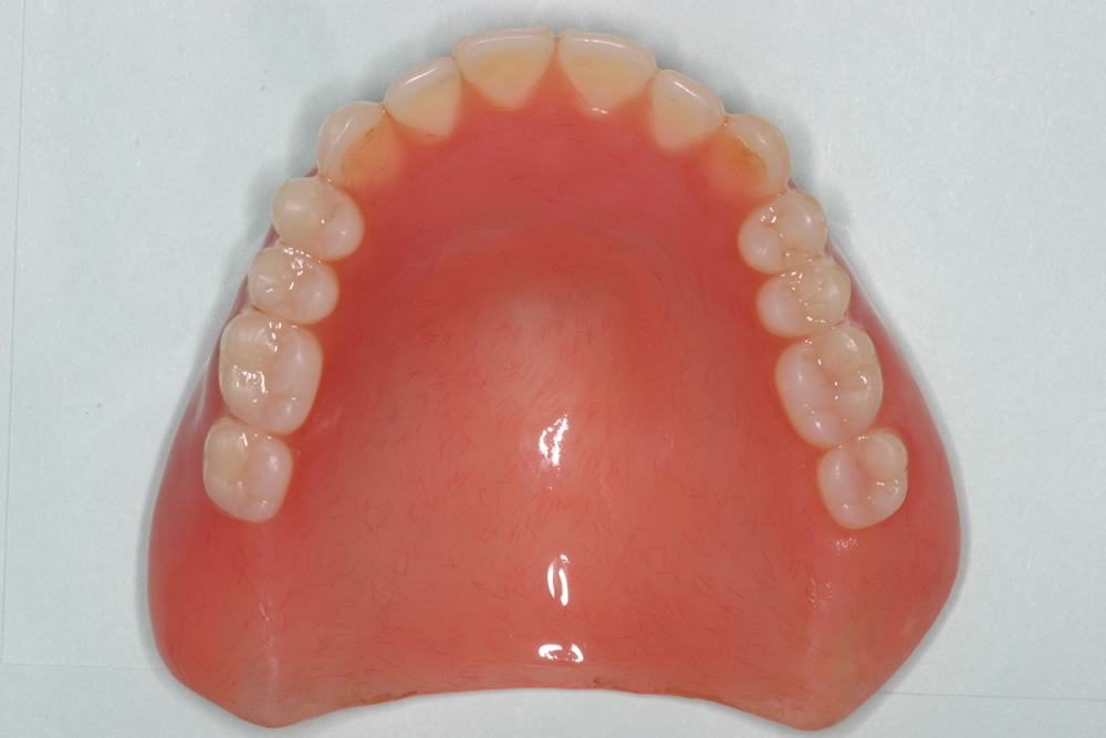
保険義歯・金属床義歯(Co-Cr、チタン)・ノンクラスプ義歯
入れ歯が落ちてうまく話ができない、入れ歯が動き、痛くて物がよく噛めないなどでお困りの方は、是非ご相談ください。
保険の総入れ歯、部分入れ歯をはじめ、保険外の金属床義歯(金床・チタン床等)、外から金属のバネが見えにくいアタッチメント義歯、また磁石を使った磁性アタッチメント義歯などをお作りします。
各種ノンクラスプデンチャー(金属の留め金を使わない義歯)も製作いたします。
近年インプラントを第一選択としてすすめられるケースが増えていますが、入れ歯でもかなり満足のいく結果を得られるケースがたくさんあります。
入れ歯が合わずお困りの方、ぜひご相談ください。
 
 
 
 
保険の入れ歯について
| メリット | 費用が安い | 
| デメリット | 素材が決められており、毎日の使用ですり減るため、定期的に作り変える必要がある。 全体的に厚みがあるため、違和感を感じやすい。部分入れ歯であれば歯にかけるばねには金属しか使えないため、金属アレルギーへの配慮ができない。 また、審美面で劣る。 | 
| 治療期間の目安 | 総入れ歯の場合、約6~7回の通院 | 
保険外の入れ歯について
| メリット | 材料の選択肢が広く、使用感や見た目、さらには耐久性にもこだわったものを選ぶことができる。 | 
| デメリット | ある程度の費用がかかる。 | 
| 治療期間の目安 | 金属床で総入れ歯を作った場合、約6~7回の通院 | 
| 費用の目安 | 金属床で総入れ歯を作った場合:約35万円+税金(上下いずれか1つ) ノンクラスプデンチャー:8万円~15万円+税金 |